Cerebral Hydatidosis: About a Case and Literature Review
Article Main Content
Cerebral hydatidosis is a rare disease, causing 1 to 3% of intracranial expansive processes. We report a case of a cerebral hydatic cyst in a 24-year-old man who had been seen for diplopia and intracranial hypertension syndrome. The CT and MRI of the brain showed a cystic mass, limited at the right lobe. The patient was operated, histology confirmed the diagnosis. Albendazole was prescribed immediately after surgery for 4 months. Clinic evolution has been favourable. The support of this particular location is discussed in light of literature data.
Introduction
The hydatid cyst is a parasitic disease caused by echinococcus granulosis. It is endemic in several traditional livestock countries, including Madagascar. [1]. Cerebral localization is rare and represents between 1% to 2% of the different hydatid locations. It mainly affects children and adolescents in rural areas with a clinical manifestation similar to cerebral tumour syndrome [2]. Its diagnosis is now easier because of the availability of brain imaging such as CTscan and magnetic resonance imaging (MRI) [3]. Surgery remains the treatment of choice.
We report a case of cerebral localization of hydatic cyst in a young man of 24 years of age, on the occasion of which, we review the elements of radiological diagnosis and management.
Observation
Patient of 24 years old, without any particular history, admitted to a neurosurgical consultation for diplopia to an intracranial hypertension syndrome with headache and vomiting. At the clinical examination, we noted an alteration of the general condition with a weight loss of 10 kg in one month before and physical asthenia after less activity. He complains of moderate headaches and vomiting every time he eats.
The CT-scan cerebral revealed a large cyst, parietal-right lobe, spontaneously hypodense, without contrast uptake, oval shape and regular contours (Fig. 1). The cyst had an important mass effect on the adjacent cerebral parenchyma, especially in the right parietal lobe.
Fig. 1. CT scan showing a hydatic cerebral cyst located at the right parietal level, with microcalcification in the posterior wall of the cyst (bright blue arrow).
An MRI brain was performed in addition to the CT scan. It confirmed the voluminous cystic mass, intra parenchymatous of right parietal lobe, hypersignal in T2 without peri-lesional edema (Fig. 2); on the sequences T1 after injection of gadolinium it is an hyposignal (Fig. 3). It also objectified the compressive character of the lesion with effacement of the posterior horn of the right lateral ventricle. The blood count revealed a non-specific eosinophilia hyper. Hydatid serology was not performed.
Fig. 2. T2 sequence brain MRI visualizing a well-limited cerebral cystic mass.
Fig. 3. T1 sequence brain MRI visualizing well-limited cerebral hydatic cyst.
As part of the extension check-up, the patient underwent an abdominal ultrasound and a chest x-ray to look for other hydatid locations. The patient was treated by the surgery, where he received a resection of the lesion by hydro dissection using hypertonic saline serum according to the technique of Arana Iniguez.
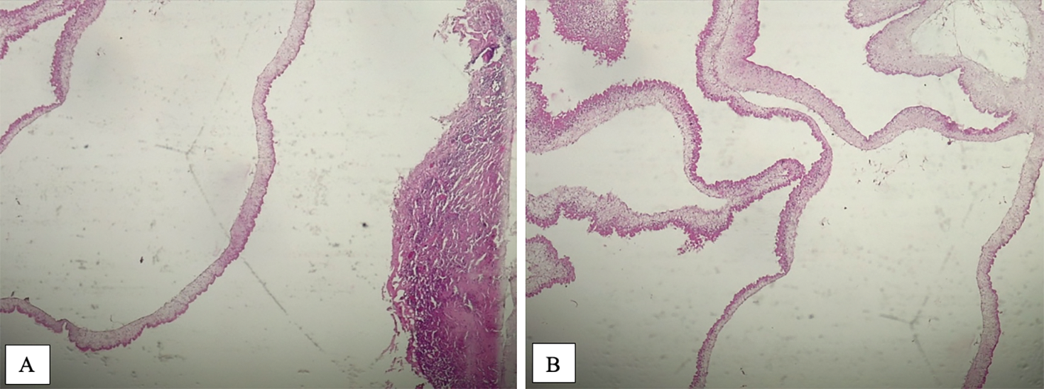
The clinical course was favorable and the patient also received medical treatment based on of albendazole at the rate of 10 mg/kg/d divided into two doses for 04 months. The diagnosis of certainty was provided by the histological study of the lesion which objectified a cyst containing a parasitic larva (Fig. 4a and b). The surgical follow-up was simple.
Fig. 4. Cerebral parenchyma-excision: Cyst containing a parasitic larva (panel A). HE, G X 4 (panel B). Source: Laboratory of Pathological Anatomy and Cytology, CENHOSOA.
Discussion
The cerebral hydatid cyst is a rare disease, causing 1%–3% of intracranial expansive processes [4], [5]. Usually observed in the liver and lung, cerebral localization of the hydatid cyst is rare, accounting for about 1% to 2% of all localization [6]. Leroy et al. [7] reported splenic, renal, retro peritoneal and cardiac involvement in their study. The rarity of the cerebral hydatic cyst is explained by the presence of a hepatic and pulmonary filter constituting obstacles to be crossed by the parasite before reaching systemic circulation [8], [9]. The different authors mention the frequency of this pathology in children and young adults [10]–[12]. The preponderant involvement of the male sex as our case is striking [4], [5].
Symptoms depend on location and can range from simple headaches to temporal engagement. The most common form of presentation is intracranial hypertension syndrome [13], [14], associated with focal signs, visual disturbances, seizures and sometimes coma [15]. Our patient was admitted for vertigo associated with intracranial hypertension syndrome. The mode of development of the cerebral hydatid cyst is most often late, depending on the organ affected and associated complications [7].
Imaging is essential in the positive diagnosis and pre-therapeutic assessment of cerebral hydatic cyst. X-ray of the skull was not performed in our case; but authors report a voluminous calcification of the cranial vault visualized on radiography corresponding to a calcified cerebral hydatid cyst [12]. The current diagnostic tools are CT and MRI brain. The CT scan cerebral is the key examination, making a positive diagnosis of a hydatid brain cyst in almost all cases. It typically shows, as in our observation, a cystic mass, round or oval with clear contours, thin-walled, of density equivalent to that of the cerebrospinal fluid (CSF) associated with an important mass effect [1], [8], [9]. The cerebral hydatid cyst does not usually increase after injection and is not accompanied by perilesional edema [1], [10], [13]. The almost constant absence of peripheral enhancement by contrast product is explained by the thinness of the pericyst in the brain and by the adhesion of the hydatid membrane to the brain [9]. However, cases of hydatid cerebral cyst with contrast uptake and peripheral edema have been reported in the literature [9].
The hydatid cyst is often a single, intra-parenchymatous, supratentacular lesion, well limited, often spherical, with a density identical to that of cerebrospinal fluid, its wall is thin and is not enhanced by contrast, There is no peri-lesion edema [16]. Sub-tensor locations, especially cerebellar ones, are rare.
He usually sits to the left [11]; related to the direct birth of the left common carotid artery in the aorta, making it easier for the embolism to migrate directly to the brain [9]. The presence of intra-cystic calcifications and cyst wall are rare.
In our case, the lesion was unique, of supra-tensor seat in posterior parietal right lobe, without contrast, spherical and we note a presence of calcification at the level of the cystic wall. According to Choukri [17] and Benzagmont et al. [18], calcifications within the cyst during its involution usually mark death and inactivity of the parasite.
Brain MRI may be essential in the case of a reengineered cyst and will eliminate differential diagnoses. Problems of differential diagnosis may arise especially in cases of cyst rearrangement; these differential diagnoses are: cystic gliomas, arachnoid cysts, other infectious processes; the cyst wall is thick in these cases with or without contrast [19]. An MRI image of an intense iso cyst relative to the cephalospinal fluid in T1 and T2, with an intense hypo wall in T2, and without associated peri-lesional edema, will be characterized by a healthy cerebral hydatic cyst, this is the case in 75% of cases [4]. On the other hand, when there is a peri-lesion edema, hyperintense in T2, with a contrast taking of the wall, the hydatid cyst is said to be complicated, and then arises the problem of differential diagnosis [4]. Brain MRI would better locate and characterize the cerebral hydatic cyst than CT [20]. Other locations may be associated in about 30% of cases [21], including liver and lung particularly, they should be systematically searched for by performing an abdominal ultrasound and a chest x-ray.
The brain imaging allowed to evoke the hypothesis of hydatic cyst in our patient. The diagnosis of certainty was provided by the histological study of the lesion.
Hydatid serology is often negative, not specific for brain hydatid cyst [12] and was not performed in our patient, then the search for other locations of the hydatid cyst was negative.
Compared to the typical forms, the diagnosis of cerebral hydatic cyst is relatively easy by including the sociodemographic and epidemiological data of the patient.
The curative treatment of the cerebral hydatid cyst is surgical [10]–[12] and should be considered whenever possible. Our patient received surgical treatment with mass enucleation by the hydro dissection of "Arana-Iniguez" which is the most widely used technique [10], [12], [13]. He was put on medical treatment with Albendazole at a rate of 10 mg/kg/d for 04 months divided into two doses; which is consistent with the literature data [7], [13]. Postoperative complications of cerebral hydatid cyst are rare. However, subdural hematoma [10], surgical wound infection, postoperative meningitis [10], [8], sequelal blindness and diplopia [8] have been reported. The suites post-operative procedures were simple. The risk of recurrence is about 19%, and it is correlated with the rate of intraoperative rupture of the cyst, the more there is rupture, the higher the risk of recurrence [4]. Mortality associated with the cerebral hydatic cyst is 10.12%, morbidity 9.52% and operative mortality 8.48% (19–20). The sequelae are often epilepsy-type, blindness secondary to intracranial hypertension syndrome (related to late diagnosis) and motor deficit [21].
Conclusion
The cerebral hydatid cyst is a rare disease. Its symptomatology is aspecific and progressive, dominated by intracranial hypertension. Imaging with CT and MRI is essential for positive diagnosis of this disease, but only histology provides diagnostic certainty. The prognosis of cerebral hydatid cyst is good after surgical treatment combined with antiparasitic medical treatment.
References
-
Turgut M. Intracranial hydatidosis in Turquey: its clinical presentation, diagnostic studies, surgical management, and outcome. a review of 276 cases. Neurosurg Rev. 2001;24(4–6):200–8.
DOI |
Google Scholar
1
-
Acha-Sánchez JL, Yaya-Loo HJ, Chipana-Sotomayor ME. Neurocirugía. In Quiste hidatídico cerebral: caso clínico y revisión de la literatura, vol. 28, Elsevier BV, 2017, pp. 207–10.
DOI |
Google Scholar
2
-
Tanki H, Singh H, Raswan US, Bhat AR, Kirmani AR, Ramzan AU. Pediatric intracranial hydatid cyst: a case series with literature review. Pediatric Neurosurgery. 2018;53:299–304.
DOI |
Google Scholar
3
-
El-shamamo T,Amer T, El-attama.Magnetic resonance imaging of simple and infected hydatid cysts of the brain. MagnReson Imaging. 2021 Sep;19(7):965–74.
DOI |
Google Scholar
4
-
Kemaloglu S, Ozkan U, Bukte Y, Acar M, Ceviz A. Growth rate of cerebral hydatid cyst, with a review of the literature. Childs Nerv Syst. 2001 Dec;17(12):743–5.
DOI |
Google Scholar
5
-
Bantour N. Kyste hydatique cérébral chez l’enfant [thesis]. Casablanca (Morocco): Université Hassan II, Faculté deMédecine; 2003. p. 117.
Google Scholar
6
-
Leroy J, Lemaire A, Tétart M, Gibier JB, Vuotto F, Senneville E, et al. Apport de la classification OMS (WHO-IWGE) dans les échinococcoses kystiques inhabituelles Médecine et Maladies infectieuses. 2020;50(6):S155.
DOI |
Google Scholar
7
-
Bezzari M, Bigaignon G, Nachega J, Laasou K, Gigot GJ, Ayadi A. L’hydatidose: echinococcose d’importation en Belgique. Louvain Med. 1999;118(1):64–71.
Google Scholar
8
-
Tlili-Graiess K, El Ouni F, Gharbi-Jemni H, Arifa N, Moulahi H, Mrad-Dali K, et al. Hydatidose cérébrale: aspects en imagerie. J Neuroradiology. 2006;33(5):304–18.
DOI |
Google Scholar
9
-
Bahri R. La prise en charge de l’hydatidose du système nerveux central: expérience du service de neurochirurgie du CHU Mohammed VI (à propos de 44 cas). Thèse de Médecine. 2016 Maro;49:177.
Google Scholar
10
-
Basraoui D, El Idrissi I, Jalal H, HiroualM, Essadki O, Ousehal A, et al. Kystes hydatiques cérébraux de l’enfant (à propos de 9 cas). J Radiol. 2010;91:293–6.
DOI |
Google Scholar
11
-
Abderrahmen K, Aouidj ML, Kallel J, Khaldi MM. Kyste hydatique cérébral calcifié à propos d’un cas exploré par IRM. Neurochir. 2007;53:371–4.
DOI |
Google Scholar
12
-
Lakhdar F, Arkha Y, Bougrine S, Derraz S, El Ouahabi A, El Khamlichi A, et al. Kyste hydatique intra- et extracrânien de la fosse cérébrale postérieure (à propos d’un cas). Neurochir. 2010;56(5):391–4.
DOI |
Google Scholar
13
-
Golvan VJ. Elément de la parasitologie Flammarion. Service Parasitologie. 2004;123:141.
Google Scholar
14
-
Khattala K, Elmadi A, Rami M, Mahmoudi A, Bouabdallah Y. Enorme kyste hydatique cérébral révélé par un coma. Pan African Med J. 2012;13(1):64–70.
Google Scholar
15
-
Tuzun Y, Kadioglu HH, Izci Y, Suma S, Keles M, Aydin IH. The clinical, radiological and surgical aspects of cerebral hydatid cysts in children. Pediatr Neurosurg. 2004 Jul–Aug;40(4):155–60.
DOI |
Google Scholar
16
-
Choukri M, Bertal A, Lakhdar A, Achouri M, Ouboukhlik A, El Kamar A, et al. Kyste hydatique cerebral calcifié à propos d’un cas. J de Neuroradiologie. 2001;28:261–3.
Google Scholar
17
-
Benzagmont M, Maaroufi M, Chakour K, Chaoui ME. Atypical radiological findings in cerebral hydatid disease. Neurosciences. 2011;16(3):263–6.
Google Scholar
18
-
Altinörs N, Bavbek M, Caner HH, Erdogan B. Central nervous system hydatidosis in Turkey: comparative study and literature analysis of 458 cases. J Neurosurgery. 2000 Jul;93:1–8.
DOI |
Google Scholar
19
-
Lunardi P, Missori P, Di Lorenzo P, Fortuna A. Cerebral hydatidosis in childhood: a retrospective survey with emphasis on long-term follow-up. Neurosurg. 1991 Oct;29(4):515–7.
DOI |
Google Scholar
20
-
Ciurea AV, Vasilescu G, Nuteanu L, Carp N. Cerebral hydatid children. Experience of 27 cases. Experience of 27 cases. Childs Nerv Syst. 1995 Dec;11(12):679–85.
DOI |
Google Scholar
21
Most read articles by the same author(s)
-
Bemora Joseph Synèse,
Andrianaivo Radotina Tony,
Masina Ndalana d’Assise,
Ratovondrainy Willy,
Rabararijaona Mamiarisoa,
Andriamamonjy Clément,
Epidemiological Clinical and Profile of Cranio-spinal Dysraphisms in Madagascar , European Journal of Medical and Health Sciences: Vol. 2 No. 6 (2020) -
Masina Ndalana d’Assise,
Rakotozanany Patrick Sandra,
Bemora Joseph Synèse,
Ratovondrainy Willy,
Rabarijaona Mamiarisoa,
Andriamamonjy Clément,
Cervical Pott's Disease C3 C4 in An Immunocompetent Woman: About A Case and Review of the Literature , European Journal of Medical and Health Sciences: Vol. 4 No. 5 (2022) -
Masina Ndalana d’Assise,
Rakotozanany Patrick Sandra,
Harimbonona Zo Miantsa,
Ratovondrainy Willy,
Romuald Seizeur,
Elsa Magro,
A Case of Oncocytoma of Adenomhypophysis Discovered by a Head Injury , European Journal of Medical and Health Sciences: Vol. 6 No. 3 (2024)